Slaati

أخصائي يوضح كيفية الحفاظ على عدسات الأسنان "فيديو"

منذ 4 سنة01513
أخصائي يوضح كيفية الحفاظ على عدسات الأسنان "فيديو"

مشاركة

أميرة خالد

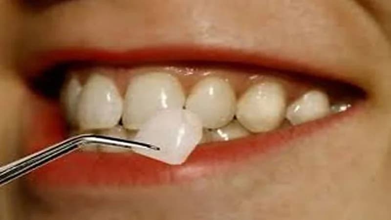
تحدث أخصائي علاج العصب وجذور الأسنان الدكتور زهران عطاطره، عن كيفية الحفاظ على عدسات الأسنان.

وقال زهران عطاطرة:"الاعتماد على عناية الشخص بأسنانه من خلال تفريشها، إضافة إلى الزيارة الدورية لطبيب الأسنان كل 6 شهور".

وأضاف:"لابد من تنظيف الأسنان جيدا ومتابعة الفحص على الأقل كل 8 شهور وأن تكون عدسات الأسنان ذات جودة وبالتالي أضمن أنها تعيش العمر كله".

https://twitter.com/sayyidaty/status/1480916083913670663?s=21

 

التعليقات ()

مشاركة

أخر الأخبار

لقطة تاريخية لسوق التمور في بريدة قبل نصف قرن.. صور
لقطة تاريخية لسوق التمور في بريدة قبل نصف قرن.. صور
خاص
منذ 56 ثانية
0
1335
أبرز مواصفات وأسعار إم جي GT موديل 2026 .. صور
أبرز مواصفات وأسعار إم جي GT موديل 2026 .. صور
الرياض
منذ 3 دقيقة
0
1338
وزارة الاتصالات وتقنية المعلومات توفر وظائف شاغرة بالرياض
وزارة الاتصالات وتقنية المعلومات توفر وظائف شاغرة بالرياض
الرياض
منذ 3 دقيقة
0
1342
خوجة: طرد إيبانيز أربك فرحة الأهلي والنقاط الثلاث ثمينة رغم الغيابات .. فيديو
خوجة: طرد إيبانيز أربك فرحة الأهلي والنقاط الثلاث ثمينة رغم الغيابات .. فيديو
الرياض
منذ 2 ساعة
0
1643
جابرييل: التعادل مع الاتفاق ليس نتيجة سيئة والنصر سيقاتل في كل مباراة
جابرييل: التعادل مع الاتفاق ليس نتيجة سيئة والنصر سيقاتل في كل مباراة
الرياض
منذ 2 ساعة
0
1650
إعلان
مساحة إعلانية
أخصائي يوضح كيفية الحفاظ على عدسات الأسنان "فيديو" - صدى الالكترونية أخبار محلية سعودية وعربية ودولية إقتصادية وإجتماعية ومال واعمال ورياضة وشئون المرأة