Slaati

‏ "سعود الطبية" تنقذ مقيمًا تعرض للإصابة في القلب

منذ 3 سنة02105
‏ "سعود الطبية" تنقذ مقيمًا تعرض للإصابة في القلب

مشاركة

سعيد العجل

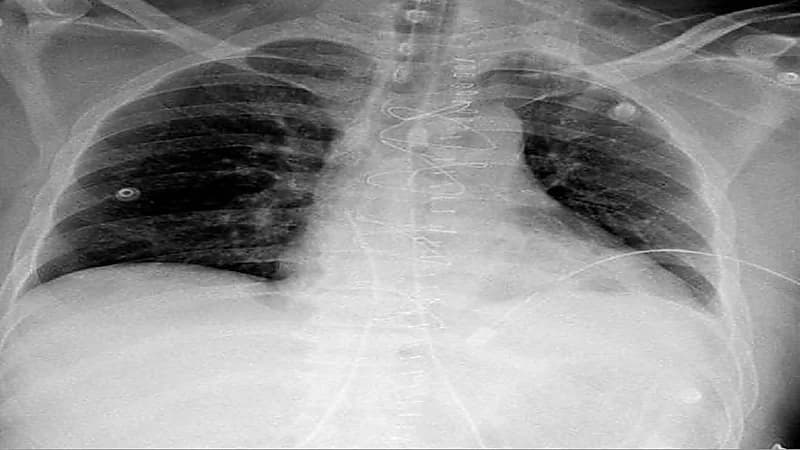
تمكن فريق طبي من مدينة الملك سعود الطبية عضو تجمع الرياض الصحي الأول من إنقاذ حياة مقيم تعرض للإصابة في منطقة الصدر.

حيث تم نقله بشكلٍ عاجل لطوارئ المدينة الطبية؛ كانت حالته خلالها غير مستقرة مع هبوط في الدورة الدموية واختلال للوعي مع وجود انتفاخ في الأوردة الوداجية، بضغط يصل إلى 60/43.

وأكدت الأشعة الصوتية وجود تجمع دموي حول القلب في تجويف التامور مع وجود استرواح هوائي حول الرئة اليسرى، ليتم نقله مباشرة إلى غرفة العمليات بواسطة الفريق الطبي المكون من استشاري الإصابات د. زيسس تولوميس، وزميل جراحة الإصابات د. أحمد فلاته، وأخصائي الجراحة العامة د. أسرار الوادعي، ويترأسها استشاري ورئيس مركز الإصابات د. شرف الدين شودري.

تم فتح صدر المريض من خلال عظمة القص، وتحرير القلب من الضغط المتكون من تجمع الدم في تجويف التامور، بعد ذلك تم التحكم بالنزيف وإصلاح عضلة القلب، وبتوفيق الله تحسن المريض وغادر العناية المركزة بعد يومين وهو بصحة جيدة.

يشار إلى أن الإصابات النافذة للقلب تعتبر نادرة جدًا وتؤدي إلى الوفاة بنسبة عالية –لا قدر الله-، حيث تتطلب إلى مركز إصابات متخصص للتعامل مع هذه الحالات في وقت قياسي.

التعليقات ()

مشاركة

أخر الأخبار

a871fa64-fb84-40c4-8713-88a0b3ddd6a6.jpg
ماجد هود يوضح أسباب بيع جزء من تذاكر الاتحاد إلى عدد من الشركات التسويقية.. فيديو
الرياض
منذ 15 دقيقة
0
1384
0320326565656599990000.jpg
بعثة ضمك تستعد للمغادرة إلى الدوحة
الرياض
منذ 18 دقيقة
0
1384
5eb372be-4149-4fe4-bc98-6717dcf02adc.jpg
حقيقة رغبة الاتحاد في التعاقد مع المدرب ديشامب
الرياض
منذ 26 دقيقة
0
1414
fba3d076-db9f-4d20-a340-59d9f974e4f7.jpg
موقف نونيز من مباراة الهلال والفتح
الرياض
منذ 27 دقيقة
0
1406
WhatsApp Image 2025-11-11 at 10.18.18 PM.jpeg
دانا عورتاني تمثل المملكة في بينالي البندقية 2025
الرياض
منذ 2 ساعة
0
1743
إعلان
مساحة إعلانية